病史特点:
男性,22岁,急性起病
主诉:头痛、反应迟钝、口齿不清4天
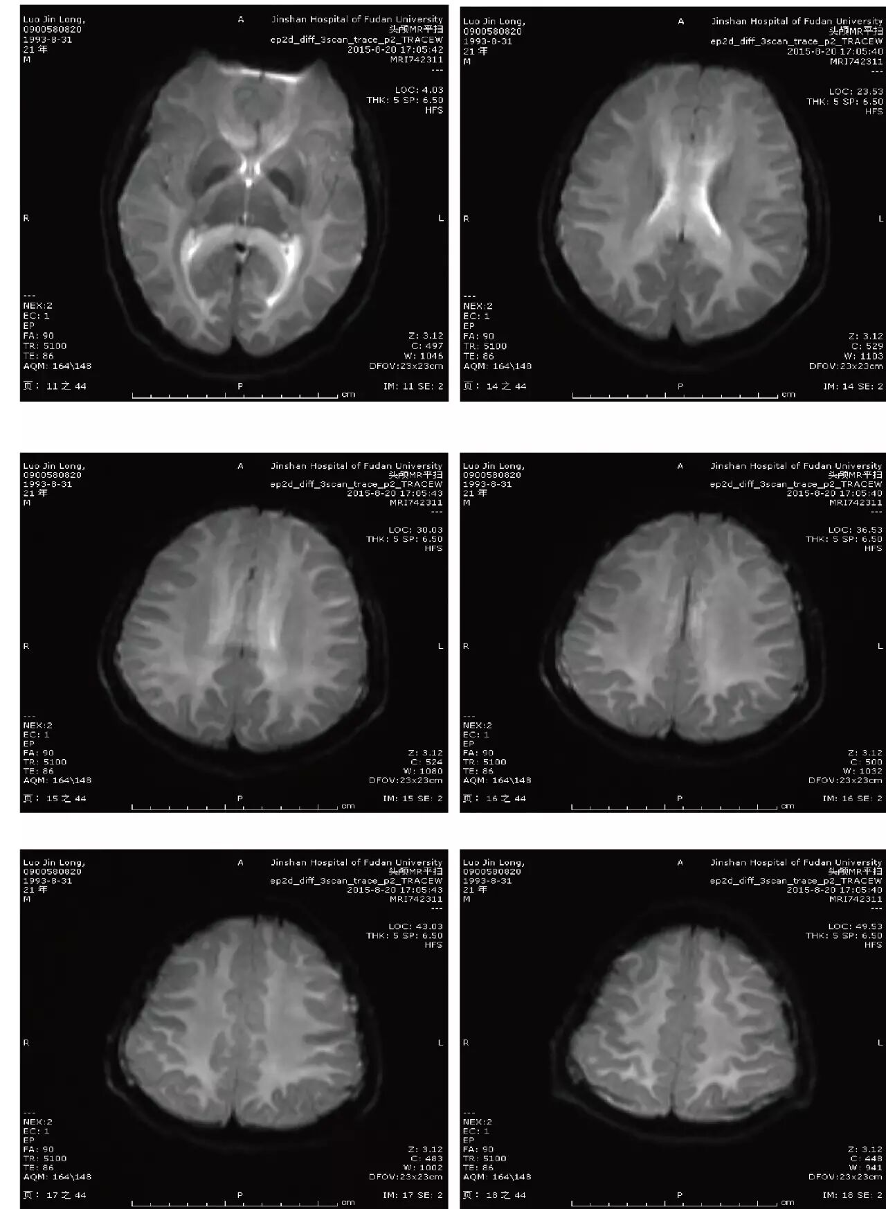
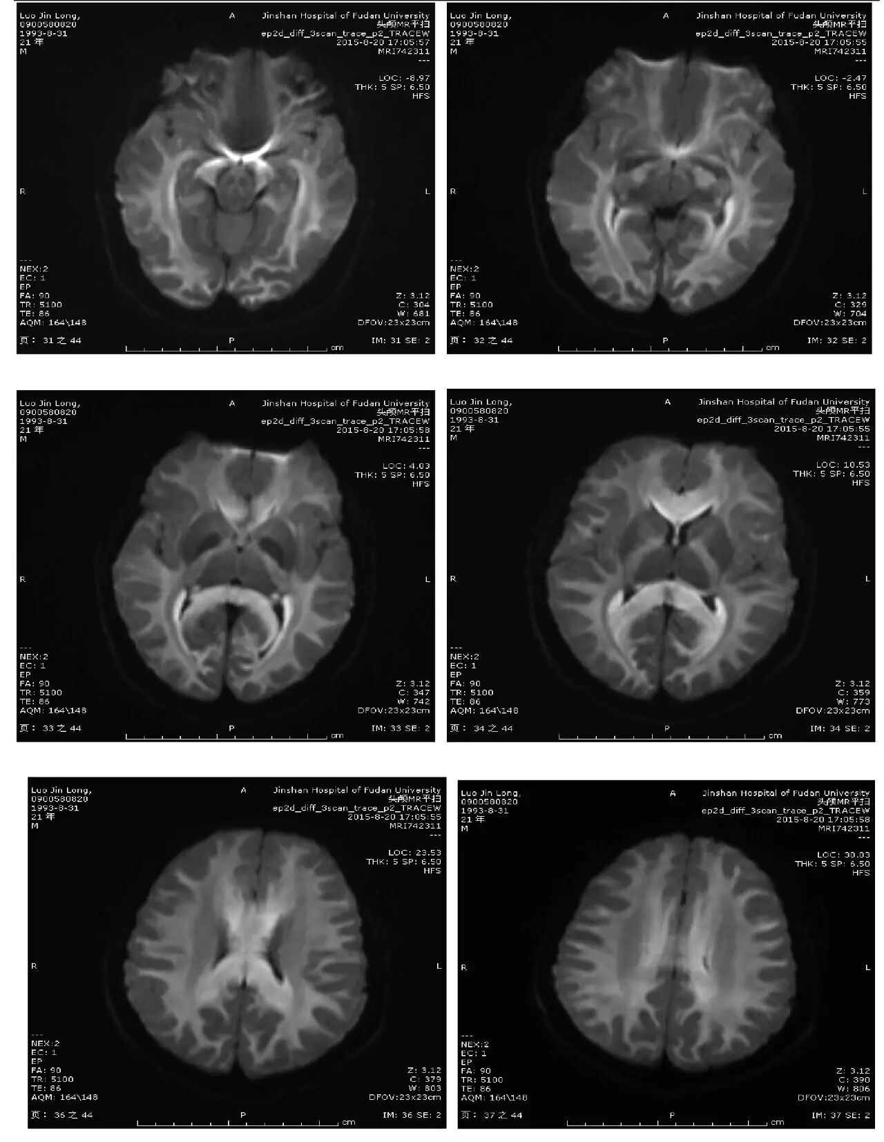
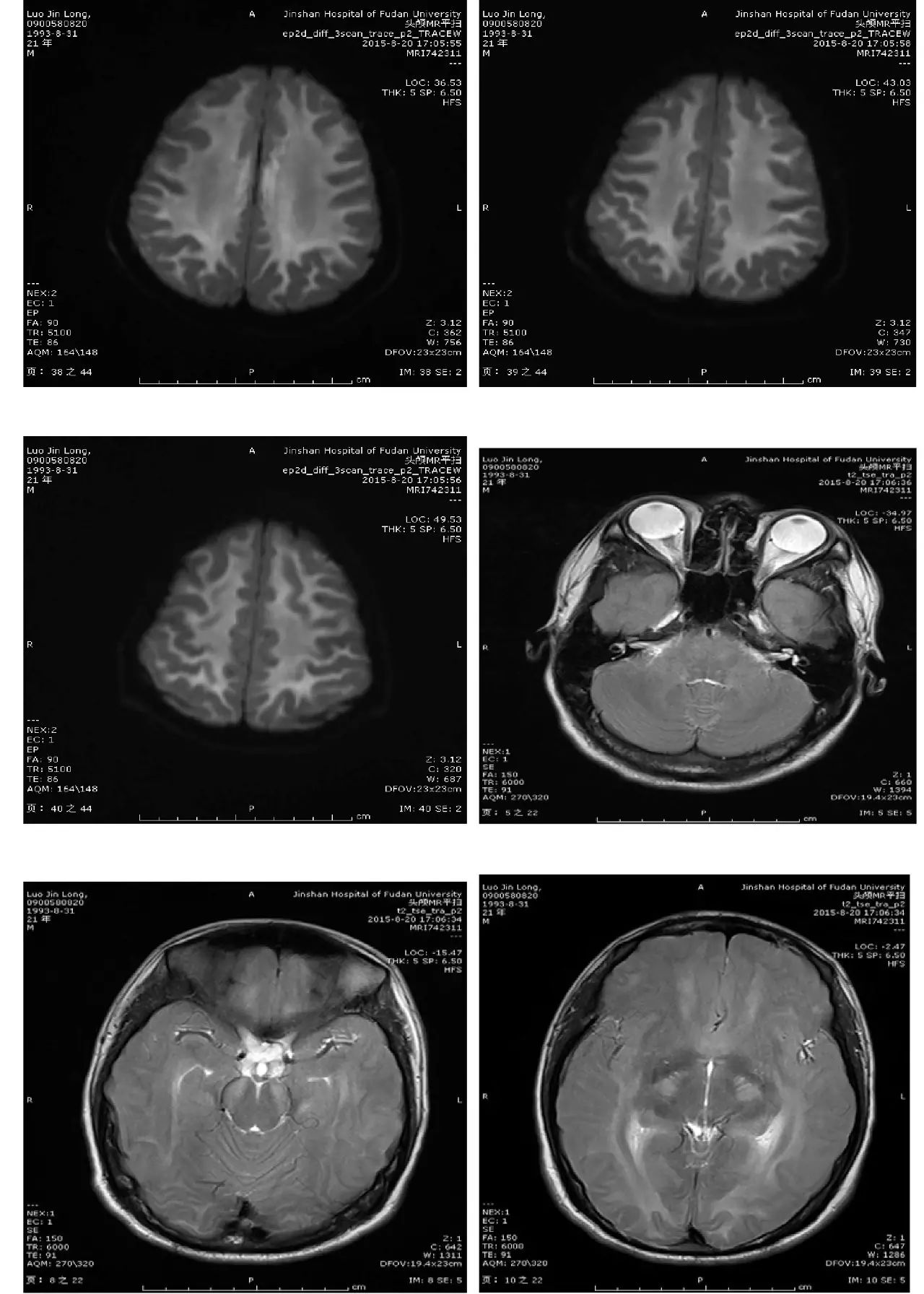
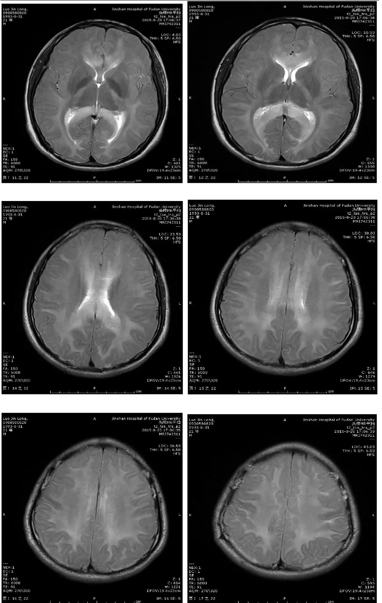
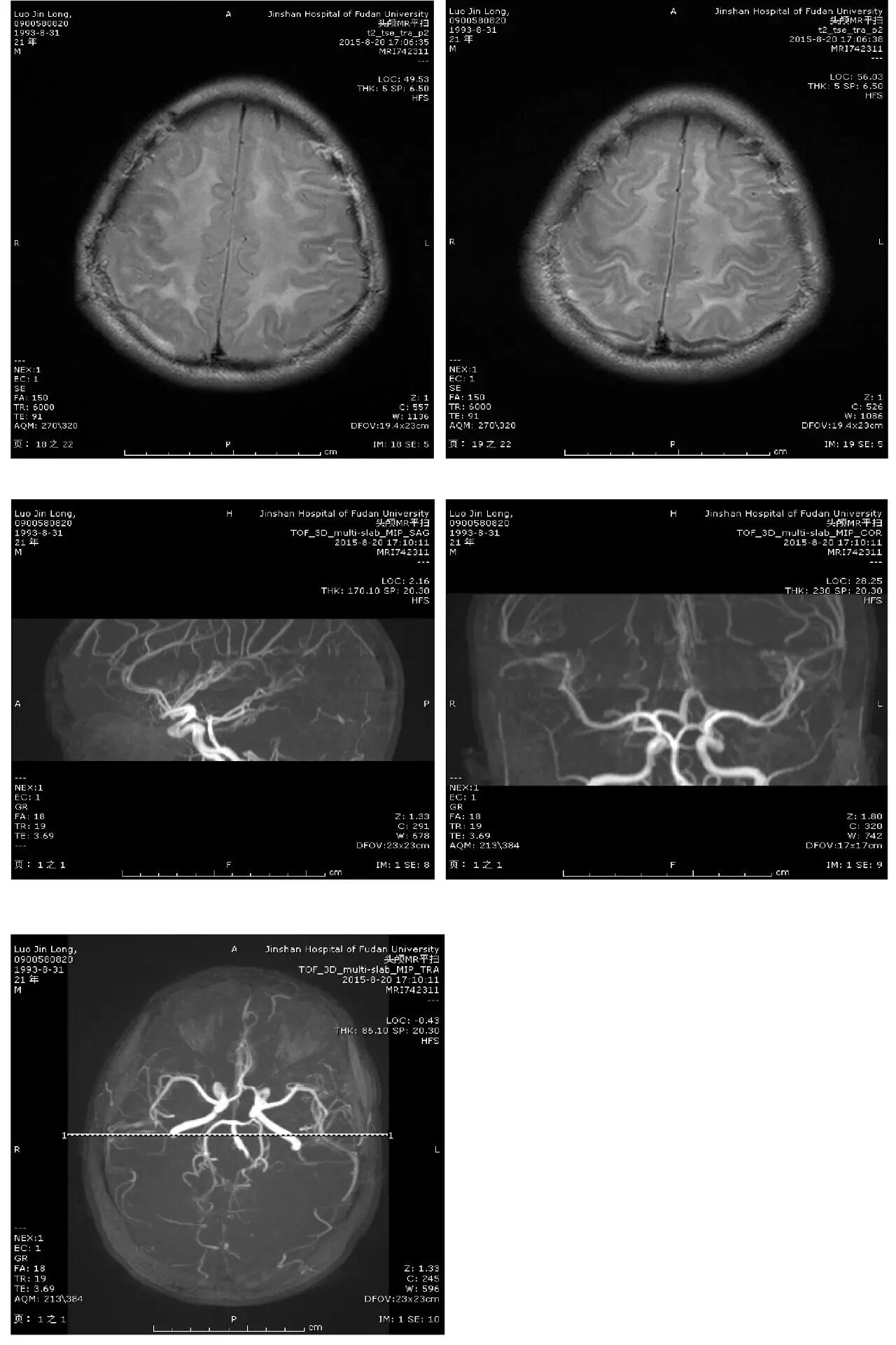
现病史:头中线部位钝痛,反应迟钝,口齿不清,无发热,无恶心、呕吐,无饮水呛咳,四肢乏力。无麻木不适。2天后出现视物模糊。外院头颅CT:两侧大脑半球低密度灶。
既往史:否认慢性发热、关节肿痛、皮疹等不适,否认高血压、糖尿病等既往史。
家族史:无类似疾病。
入院体检:T:36.5℃,血压,100/60mmHg。神志清楚,口齿不清,对答切题。双侧瞳孔等大等圆,直径0.25cm,对光反射灵敏,无眼震,口唇无紫绀,双侧鼻唇沟对称,伸舌不偏。抬头有力。颈软,无抵抗,颈动脉听诊未及杂音。双肺呼吸音清,未及明显干湿性啰音。心界临界,心率56次/分,律齐。䏡双下肢不肿。四肢肌力V级,肌张力不高,病理征未引出。双侧肢体针刺觉、振动觉对称存在。双侧轮替动作、指鼻试验及跟膝胫试验阴性。
生化检查
血常规:WBC 10.40*10^9/L,N 86.2%,Hb 113g/l,MCV61.3fL(82-100fL), MCH20.70pg(27-34pg),MCHC 338 (316-354pg), PLT 192*10^9/L;
凝血功能:纤维蛋白原 1.88g/l,余正常。
肝肾功能:TB 35.6 (4-24)umol/l,CB 11.3(0-10)umol/L,ALT 28 (10-60)U/L,AST 64(8-40)U/L.白蛋白43g/l。
电解质:钾2.1
(3.5-5.2)mmol/l,钠
145(135-145)mmol/l,氯111(101-111)mmol/l,钙2.18(2.09-2.54)
mmol/l,磷0.51(0.87-1.45)mmol/l,镁1.08mmol/l(0.65-1.05)
葡萄糖5.05mmol/l,血酮:阴性。血CO:阴性。
肌酶:CK 409U/L (55-170U/L),肌红蛋白 236 (0-107 ng/ml),CK-MB 2.2 (0-4.3ng/ml).LDH:510u/l(313-618)U/L。
梅毒及免疫:TPPA、HIV抗体:阴性。丙肝抗体:正常。
ANA:ENA、dsDNA、ANCA:阴性。
肿瘤标记物:AFP、CEA、SF:正常。铁蛋白:156.10ng/ml。
甲状腺功能:FT3 1.11(1.3-3.1)nmol/l,FT463.05(66-181),TSH 1.31 (0.27-4.2)ng/ml。
血气分析:pH 7.392(7.35-7.45),PaO2
13.8kpa(11.1-14.4),PaCO2
3.85(4.67-6.4)kpa,实际碳酸氢根17.2(24-31)mmol/l,标准碳酸氢根 19.4
(22.5-26.9)mmol/l,实际剩余碱 -6.2mmol/l(-2.7-2.5),标准剩余碱-6.8(-1.5-3)mmol/l.
脑脊液:
压力:220mmH2O
常规:无色,透明,白细胞2*10^6/l。
蛋白:0.4g/l(0.12-0.6),糖 3.5mmol/l(2.2-3.9),氯130(119-129)mmol/l,同期血糖 6.5mmol/l。
细菌、结核、隐球菌涂片+培养:阴性。
肌电图:未见典型神经源性或肌源性损害表现
(点击查看高清图)





